Der E2-Wurf geboren zum 23. Mai 2014

Checkpoint Charlie’s Ernesto I’Unico

Hier geht es zu den Bildern der 1.- 8. Woche
 

7./8.Tag

4.Tag

Er wiegt jetzt 170 gr. - heute hat er zum allererstenmal richtig an der Zitze gehangen - große Freude!!!

Und Rosalie erfreut sich sichtlich entspannt über ihre nächtliche Wurfkiste.


Checkpoint Charlie’s Ernesto - 3 Tage alt...

Er wiegt jetzt 160 gr., wir ernähren ihn mit der Sonde, weil er zu klein ist für das Gesäuge der Mama.
Er bekommt täglich Rosalie’s Muttermilch abgezapft und wird rund um die Uhr im 2-3 Stundenrythmus gefüttert.
Bisher zeigt er einen sehr guten Biotonus und ist ein ganz tapferer Junge - GO ERNSTO, GO!!! Du schaffst das....

Wir sind unendlich glücklich, daß es Rosalie so gut geht und sie den Kaiserschnitt in kürzester Zeit so super überstanden hat!

Wir gratulieren Karin mit Felix & Flo zum Gewinn des Welpenquiz!


Unsere kleinen Frühchen unmittelbar nach dem Not-Kaiserschnitt am 57. Tag
Links das Mädchen mit 108 gr. und rechts der Junge mit 136 gr.
Das Mädchen ist uns leider am 24.5.2014 verstorben...drückt uns alle die Daumen für den kleinen tapferen Mann!

Das Welpenquiz ist ab sofort gestoppt!

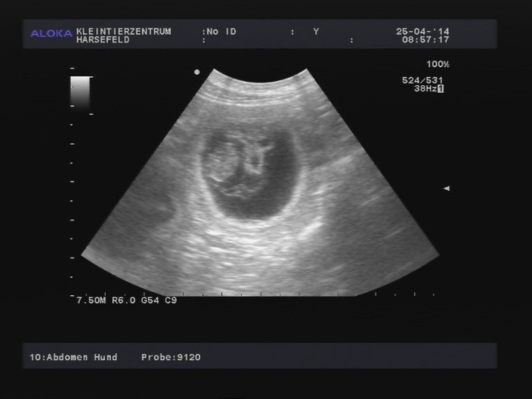
Hier zeigt uns Rosalie nun ihren schönen rosigen Welpenbauch und jeder darf raten,
wieviele Welpen es werden könnten! Die Aufnahme stammt vom 53. Trächtigkeitstag...
 

Rosalie lädt Euch ein    
 zum Welpenquiz!


Jeder kann uns seinen Tipp abgeben per email unter checkpoint-charlies@t-online.de

Bitte genau angeben, wieviele Rüden und wieviele Hündinnen es werden könnten.

Um doppelte Tipps möglichst zu vermeiden werde ich mich bemühen,
alle eingehenden Tipps so schnell wie möglich hier auf dieser Seite zu veröffentlichen!

Natürlich winkt dem Gewinner wieder ein schöner Preis

Und nun viel Glück und los geht’s!

Anyone can give us his tip by email at checkpoint-charlies@t-online.de

 Please specify how many males and how many bitches it could be.
 To avoid duplicate tips as possible I will try to publish all incoming tips as soon as possible here on this page!
 Of course the winner will get back a nice price - now have good luck and go!
 

Hier nun Eure Tipps - Reihenfolge nach Posteingang:

Petra mit Alvin
Corinna Würfel
Familie Niemann
Vasco mit Wilma
Sven Hansen
Prof. Jörg Brost
Ingeborg Brost
Ulla mit Lucy & Charly
Sabine mit Yogi & Coco
Sabine & Ralf mit Felix & Sissi
Elli & die Enchant’s
Herr Singer & die Enchant’s
Carola mit Samson
Elga mit Yumi & Pollux
Thomas mit Blue
Inge mit Laszlo
Dirk mit Wheenie
Rosi mit Bobby
Vreni mit Cara & Pixie
Irma mit Milka
Petra mit George
Peter mit Felix & Flo
Susanne mit Tiffy & Feriengast Banditchen
Sonja
Tamara mit Bobby
Brigitte mit Barney & Gracy
Angelique
Acki mit Ayk & Umbra
Edeltraut mit Amadeus
Familie Klein mit Kasimir
Karin mit Felix & Flo
Birgit mit Pünktchen & Charis
Birgit & Jürgen mit Ruben
Erika mit Kenzo

Otterndorf
Varel
Bochum
Berlin
Goiania/Brasilien
Wilhelmshaven
Wilhelmshaven
Hemer
Forst
Polch
Wien
Wien
Paderborn
Heide
Montabaur
Steinfurt
Frankreich
Schweiz
Schweiz
Holland
Wilhelmshaven
Wien
Österreich
Jagsthausen
Schweiz
Köln
Holland
Wilhelmshaven
Bayern
Brilon
Wien
Buchenau
Wolfenbüttel
Lindlar

5 Rüden & 5 Hündinnen = 10 Welpen
4 Rüden & 5 Hündinnen =  9 Welpen
6 Rüden & 3 Hündinnen =  9 Welpen
3 Rüden & 6 Hündinnen =  9 Welpen
3 Rüden & 5 Hündinnen =  8 Welpen
3 Rüden & 4 Hündinnen =  7 Welpen
4 Rüden & 2 Hündinnen =  6 Welpen
2 Rüden & 4 Hündinnen =  6 Welpen
4 Rüden & 4 Hündinnen =  8 Welpen
4 Rüden & 6 Hündinnen = 10 Welpen
5 Rüden & 3 Hündinnen =  8 Welpen
2 Rüden & 6 Hündinnen =  8 Welpen
6 Rüden & 4 Hündinnen = 10 Welpen
5 Rüden & 6 Hündinnen = 11 Welpen
5 Rüden & 4 Hündinnen =  9 Welpen
4 Rüden & 1 Hündin   =  5 Welpen
3 Rüden & 3 Hündinnen =  6 Welpen
2 Rüden & 5 Hündinnen =  7 Welpen
1 Rüde & 2 Hündinnen =  3 Welpen
4 Rüden & 3 Hündinnen =  7 Welpen
3 Rüden & 3 Hündinnen =  6 Welpen
1 Rüde & 3 Hündinnen =  4 Welpen
5 Rüden & 4 Hündinnen =  9 Welpen
3 Rüden & 2 Hündinnen =  5 Welpen
1 Rüde & 4 Hündinnen =  5 Welpen
2 Rüden & 3 Hündinnen =  5 Welpen
1 Rüde & 3 Hündinnen =  4 Welpen
5 Rüden & 1 Hündin   =  6 Welpen
3 Rüden & 4 Hündinnen =  7 Welpen
5 Rüden & 2 Hündinnen =  7 Welpen
1 Rüde &   1 Hündin    = 2 Welpen
2 Rüden & 2 Hündinnen =  4 Welpen
1 Rüde & 6 Hündinnen =  7 Welpen
2 Rüden & 2 Hündinnen =  4 Welpen

 

Stand: 22.5.2014 - 22.20 Uhr

 


Bei nicht korrigierten doppelten gleichen Tipps gewinnt der,
der voranstehend seinen Tipp zuerst abgegeben hat! Und alles natürlich ohne Gewähr...

In uncorrected double wins the same advice,
has submitted its tip above first! And of course everything without guarantee ...
 

Hier könnt Ihr den Deckakt sehen! Klick auf die Kamera.....